Episode 14 - Chloroplasts and Photosynthesis
Chloroplasts only exist in photosynthetic, eukaryotic cells (plant and algae cells).
Chloroplasts use light energy to turn water into oxygen gas, and to reduce NADP+ and produce ATP through photosynthesis, which is then fed into the Calvin cycle to produce sugars and other organic molecules. In addition, the chloroplast also temporarily store clusters of starch molecules. The products of photosynthesis, like phosphorylated glucose, diffuse across the double membrane layer of the chloroplast, and through the cytoplasm to wherever it is needed in the cell (or outside of the cell).
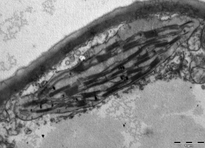
The chloroplast is enclosed by an outer membrane and an inner membrane, with an intermembrane space between them. Within the stroma (which is analogous to the matrix of mitochondion) another membrane enclosed space exists in the form of stacked disks we call gramum. These stacks forum the thylakoid. The space within the membrane is called the thylakoid lumen.
The photosynthetic pigment, chlorophyll, is most abundant in chloroplasts. The chloroplast differs from other organelles in that it does not divide with the cell; instead it reproduces by itself, with its own set of genetic material.

TEM of chloroplast (Wikimedia Commons)
.